Irakurtzen ikasteko prozesua argitzeko ikerketa bat abiatu du BCBL zentroak
BCBL Basque Center on Cognition, Brain and Language ikerketa zentroak abian du Dysthal proiektua, D ereduko haur eta nerabeen irakurketa estrategiak ikertzeko eta irakurketa prozesuan parte hartzen duten mekanismo neurobiologikoak ikusteko. Gipuzkoako 9-16 urte bitarteko mila haur eta neraberekin egingo dute ikerketa.
Irakurtzea beharrizan eta ohitura zaharra bada ere, neurri batean oraindik ere ez da jakina nola gertatzen den irakurtzen ikasteko prozesua: zer-nolako loturak eta mekanismoak izaten diren garunean, esaterako. BCBL Basque Center on Cognition, Brain and Language ikerketa zentroak Dysthal ikerketa proiektua abiatu zuen prozesu hori ikertzeko. Egitasmoak bi helburu ditu: batetik, ikertzea ea haur eta nerabeek nola ikasten duten irakurtzen; bestetik, jakitea ikasketa prozesu horretan garuneko zer mekanismok parte hartzen duten.
Ikerketak bi fase izango ditu, eta lehena egin dute, 2019-2020ko ikasturtean. Gipuzkoako zortzi ikastetxetako D ereduko mila haur eta nerabe inguru ebaluatu zituzten. Ikasleen soslaiak nahi zituzten. «Azaleko probak ziren», zehaztu du Amaia Aierbek, Dysthal proiektuaren koordinatzaile eta neuropsikologoak.
Lehen fasean neurtu dituzten gaitasunetako bat kontzientzia fonologikoa izan da: hau da, «hitzen fonemak edo soinuak identifikatzeko, horiek buruan manipulatzeko eta horiekin lan egiteko gaitasuna». Irakurtzen ikasteko eta irakurtzeko, funtsezko gaitasuna da hizkiak eta hitzak dagozkien soinuekin lotzea.
Bigarren fasean, parte hartzaileen erdiak aukeratuko dituzte —450 inguru— haien soslaiaren arabera, proba zehatzagoak eta sakonagoak egiteko; ez eskoletan, baizik eta BCBLren Miramongo egoitzan, Donostian. Soslai edo multzo guztietako haur eta nerabeek parte hartuko dute, batzuk besteekin konparatzeko: «Alderatu nahi dugu irakurketan zailtasunen bat izan dezaketen haurren garunak nola funtzionatzen duen, eta zailtasunik ez dutela diruditen beste batzuenak nola funtzionatzen duen».
Erresonantzia magnetikoaren bidez, haur eta nerabeen garunaren funtzionamendua ikusiko dute.
Irakurketari lotutako ariketa zehatzagoak egingo dituzte, bai papera eta arkatza erabiliz, bai tabletak baliatuz, eta baita erresonantzia magnetikoa ere. Erresonantzia magnetikoaren bidez, haur eta nerabeen garunaren funtzionamendua ikusiko dute. «Erresonantzia funtzionalaren ezaugarria da bide ematen digula jakiteko ea gure garunak nola erreakzionatzen duen ariketa batean», Aierberen esanetan.
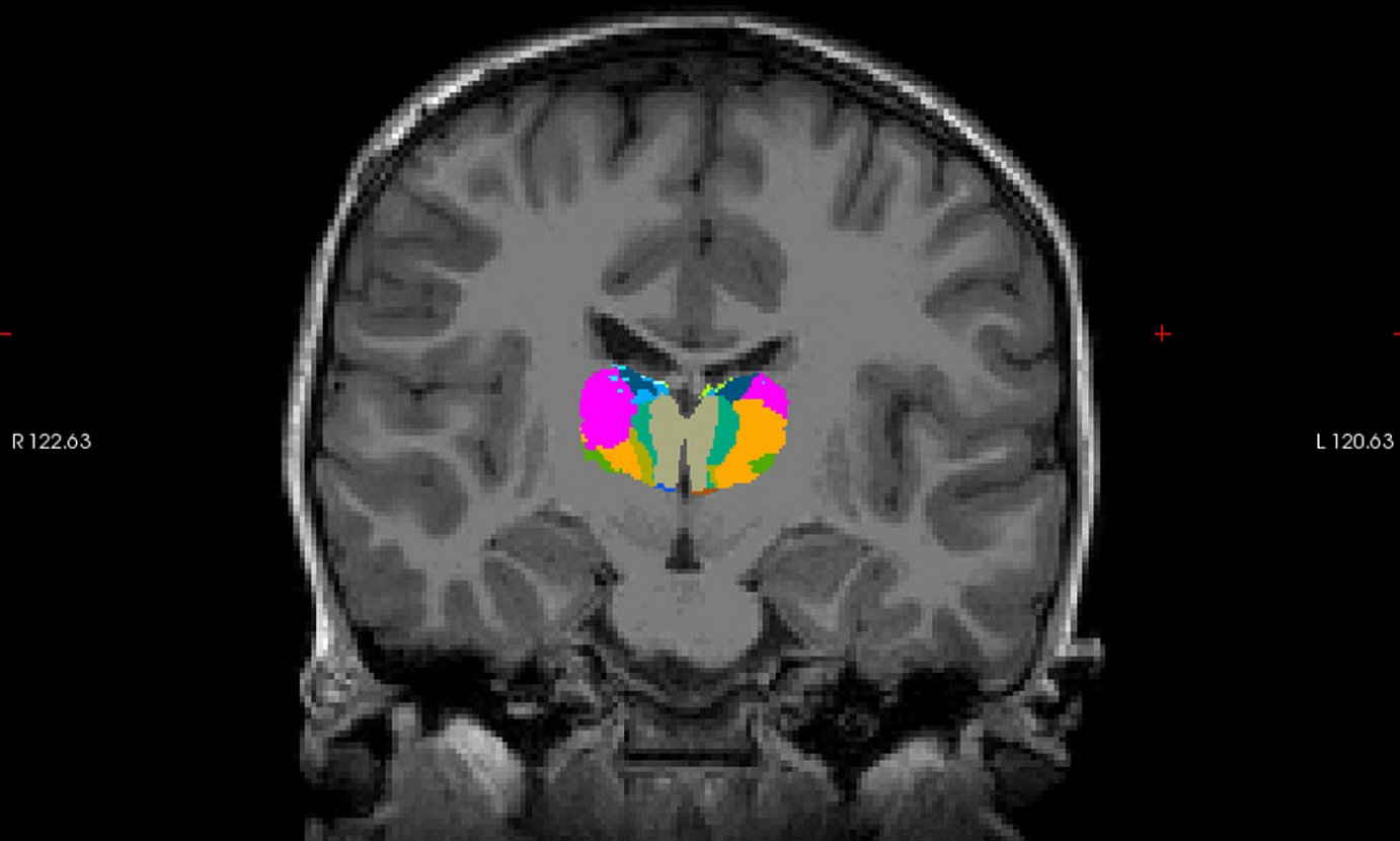
Neuropsikologoak zehaztu duenez, «neurobiologia arloan, garun azala aztertu izan da gehienbat, garunaren kanpoko aldea». Azken urteetan, ordea, gero eta garrantzi handiagoa ematen ari zaie garun azalaren azpian dauden guneei, «fisikoki garunean sakonago daudenei». Horietako bat da talamoa (hiru zentimetro ingurukoa eta obalo formakoa), eta Dysthal proiektuan garrantzi handia emango diote. Hain zuzen, talamoaren eta garun azalaren arteko loturak aztertuko dituzte, eta «ea lotura horrek parte hartzen duen irakurketa prozesuan». BCBLko ikertzaileek uste dute baietz, eta eragina nolakoa den eta zenbaterainokoa den jakin nahi dute.
Talamoaren eta garun azalaren arteko loturak aztertuko dituzte, eta «ea lotura horrek parte hartzen duen irakurketa prozesuan».
Dislexia aztergai
Ikerketa bukatutakoan, irakurketa modu edo estrategia ezberdinen ereduak sortzea da asmoa, baita irakurtzeko zailtasunena ere: dislexia dutenena, esaterako. Gaur egun, erresonantzia magnetikoaren bidez garunaren irudiak ikusita ez da posible esatea noiz dagoen arazorik gabeko irakurketa prozesu bat eta noiz dislexia. «Ez gara horretara iritsi, baina egia da pixka bat horretara goazela», argitu du Aierbek. Erresonantzia magnetikoaren bidez dislexiaren diagnostiko goiztiarra egitea lagungarria litzateke, «gaur egun haurrak 8 urte izatea baita dislexia diagnostiko bat egiteko baldintzetako bat».
Ikerketaren bidez ikusiko balute, esaterako, dislexia duten pertsonetan talamoak eta garun azalak modu jakin batean funtzionatzen dutela, diagnostikoa aurreratuko litzateke, eta, beraz, baita dislexiaren lanketa ere. «Baina oraindik asko dago egiteko eta ikertzeko», ohartarazi du.
Jatorrizko artikuluak
-
Hitzak irakurtzetik garuna irakurtzera
Jakes Goikoetxea |
|